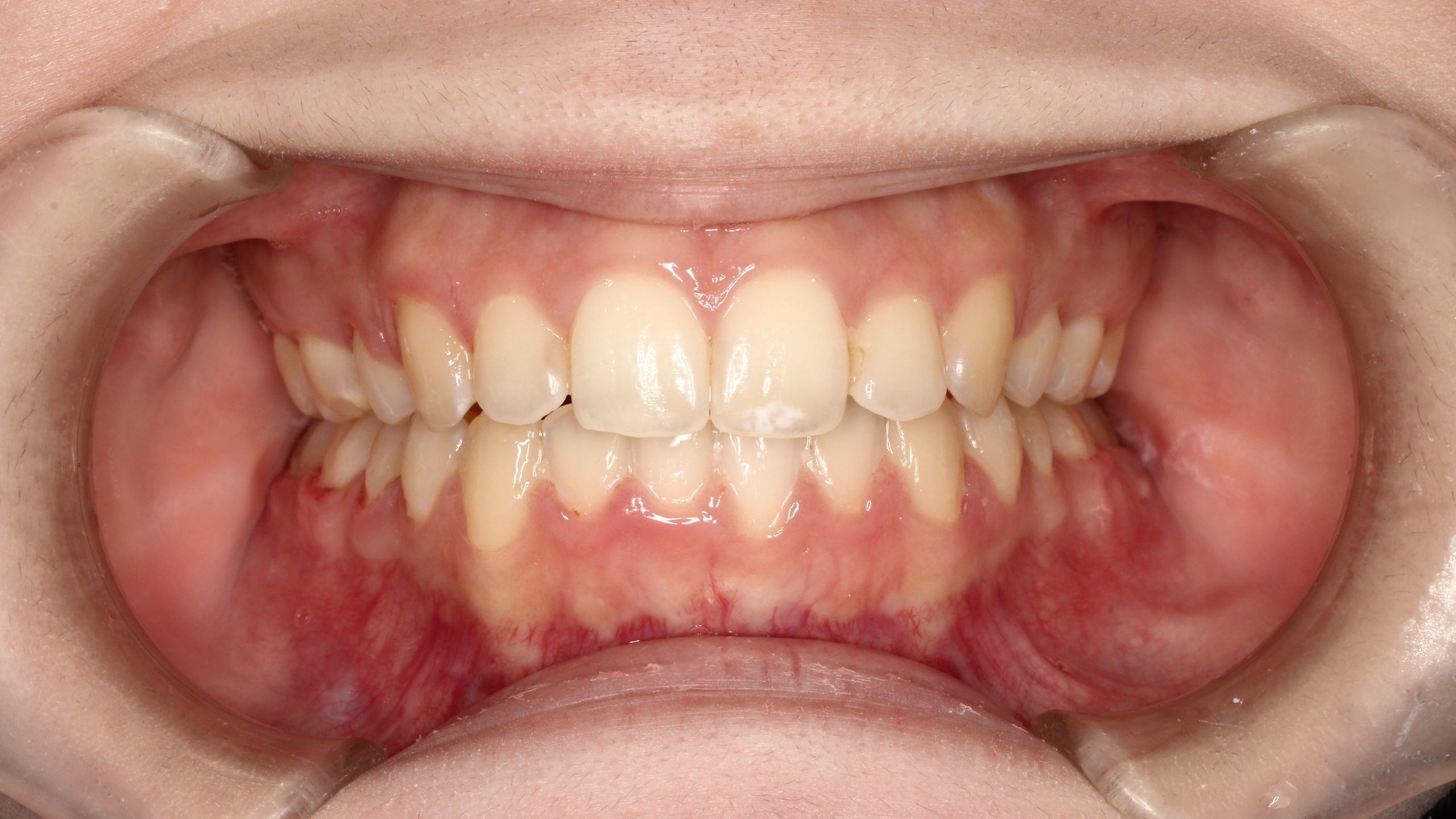
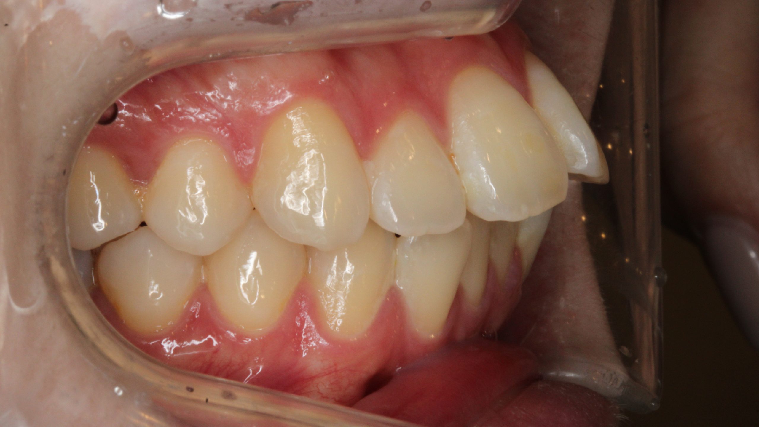
部分矯正で前歯のガタつき治したい(治療期間:1年2か月/通院13回)
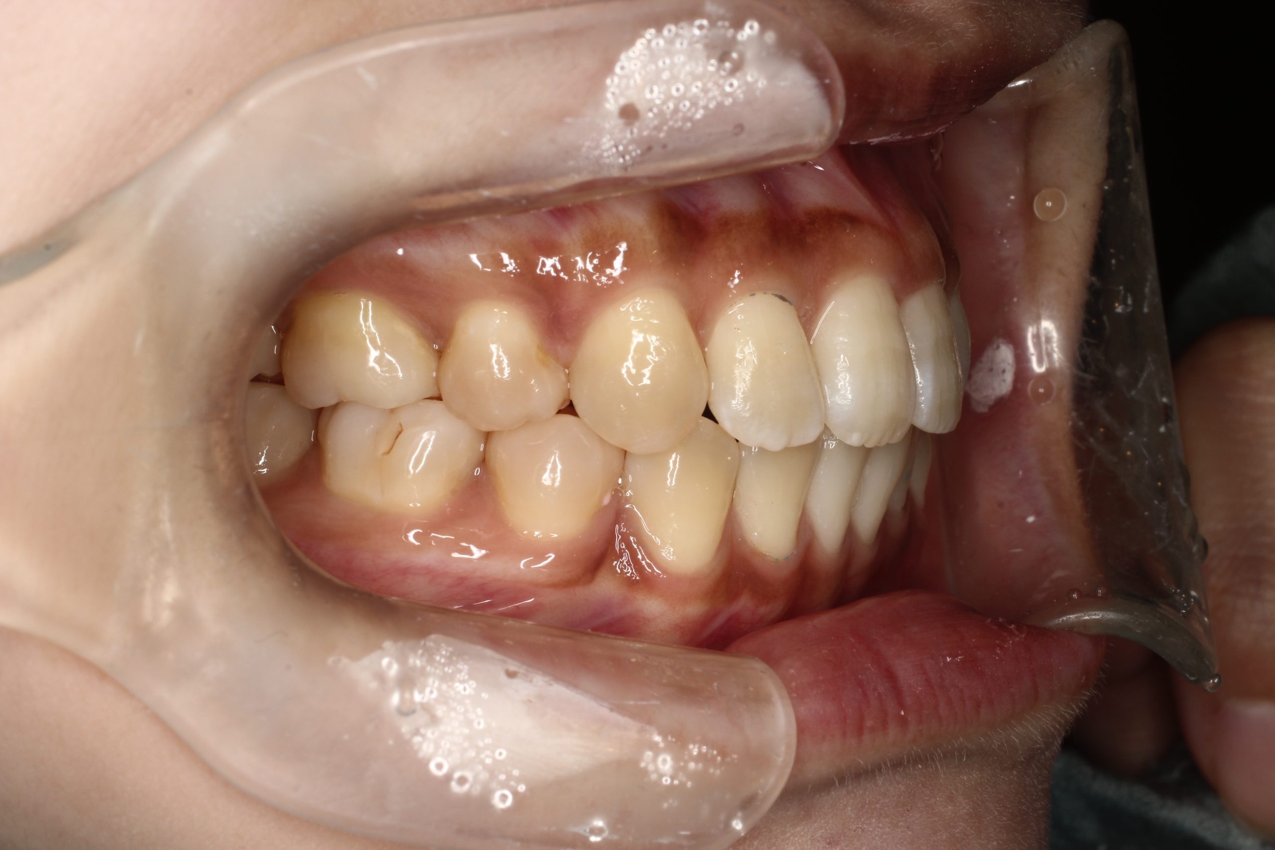
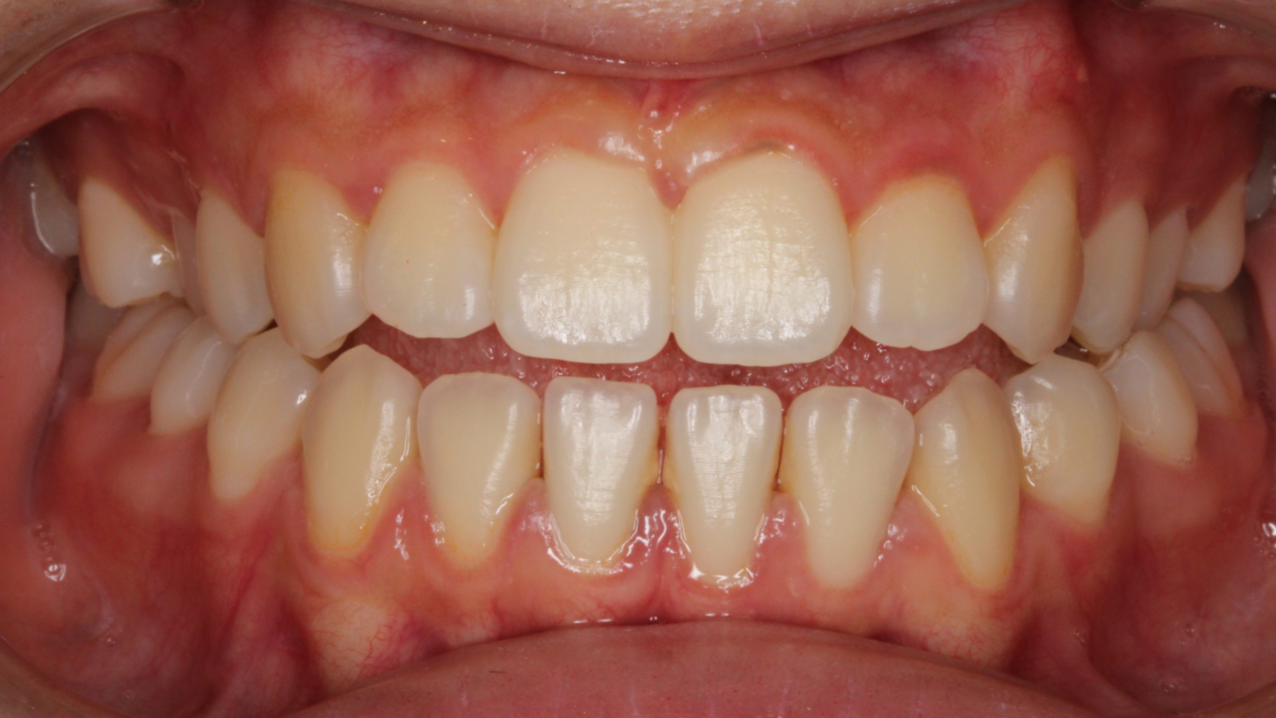
Before
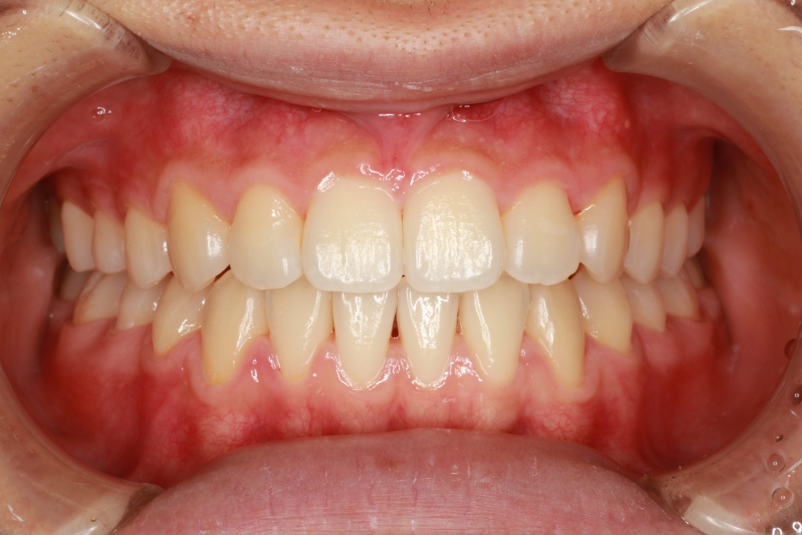
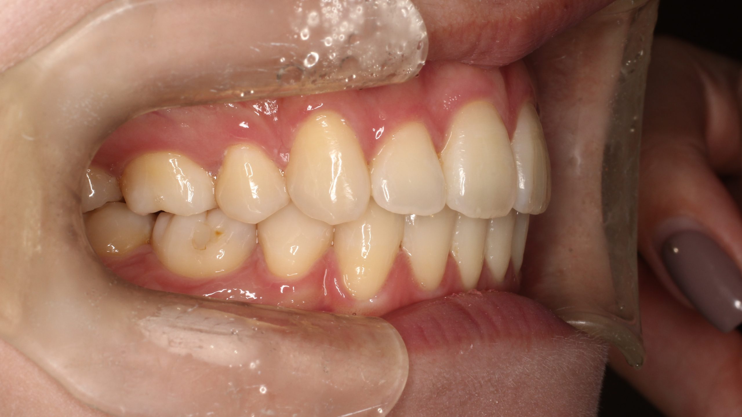
After
| 年齢層 | 20代 |
|---|---|
| 性別 | 女性 |
| 主訴 | 前歯を下げたい.歯並びが凸凹している |
| 治療費用 | ¥772,200 |
| 治療期間 | 1年2ヵ月 (13回) |
| 抜歯 | 非抜歯 |
| 矯正の装置 | 裏側矯正(舌側矯正)/部分矯正3┼3 |
| 副作用・リスク | 知覚過敏 ・疼痛 ・咬合痛 ・体質により金属アレルギーの発症 ・歯肉退縮 ・歯根吸収 ・ブラックトライアングル(歯と歯の間の隙間) ・歯磨きがうまく出来ない場合、むし歯や歯肉炎が進行 ・保定が不十分の場合、後戻りの可能性 ・発音への影響 |

