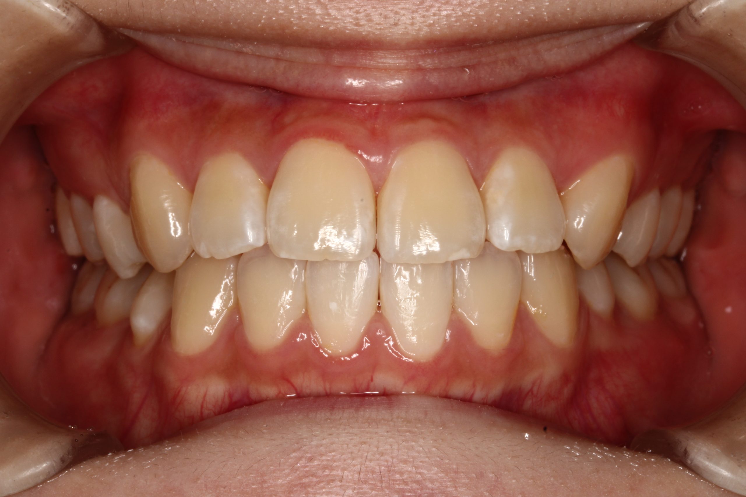
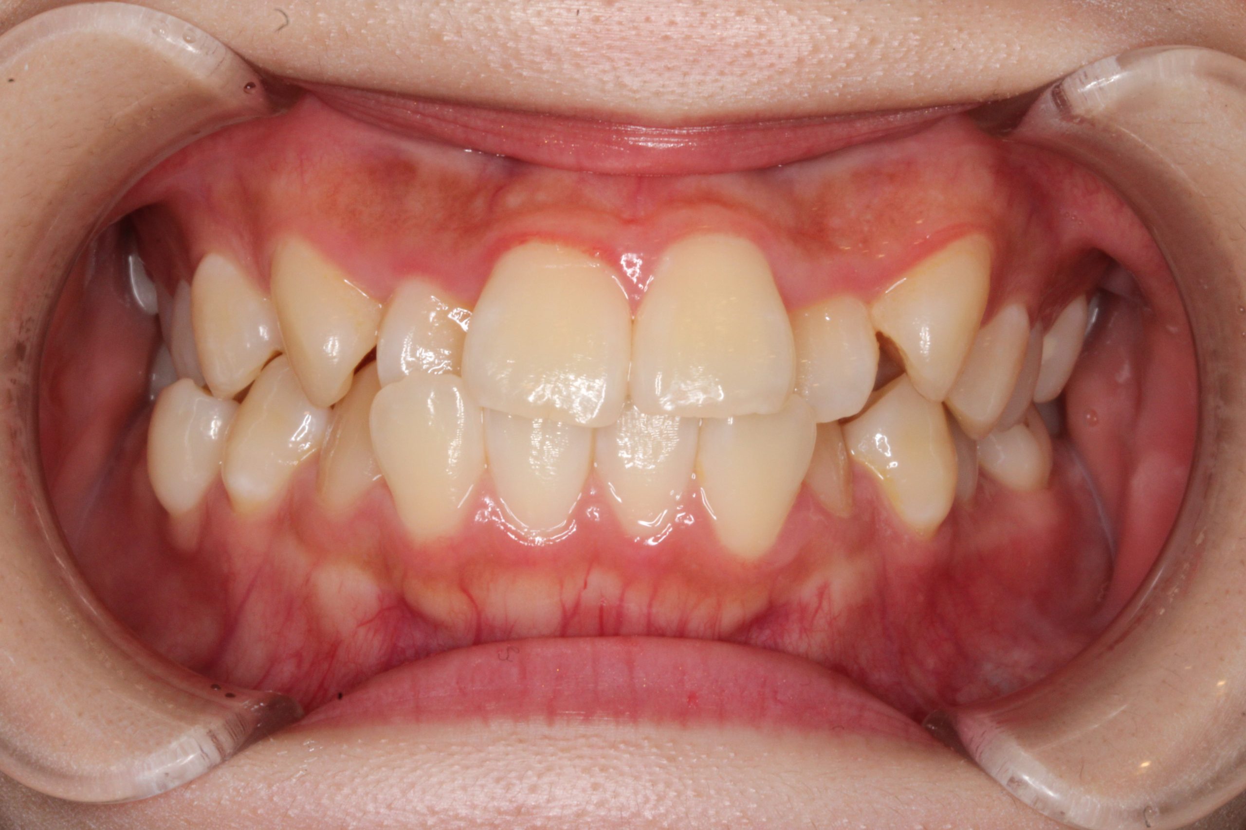
口が閉じづらい(治療期間:2年6ヵ月/通院30回)
| 年齢層 | 20代 |
|---|---|
| 性別 | 女性 |
| 主訴 | 口が閉じづらい,上の歯下げたい |
| 治療費用 | ¥1,298,000 |
| 治療期間 | 2年6ヵ月(30回) |
| 抜歯 | 上顎左右4、下顎左右5 |
| 矯正の装置 | ハーフリンガル |
| 副作用・リスク | 知覚過敏 ・疼痛 ・咬合痛 ・体質により金属アレルギーの発症 ・歯肉退縮 ・歯根吸収 ・ブラックトライアングル(歯と歯の間の隙間) ・歯磨きがうまく出来ない場合、むし歯や歯肉炎が進行 ・保定が不十分の場合、後戻りの可能性 ・発音への影響 |
Before

