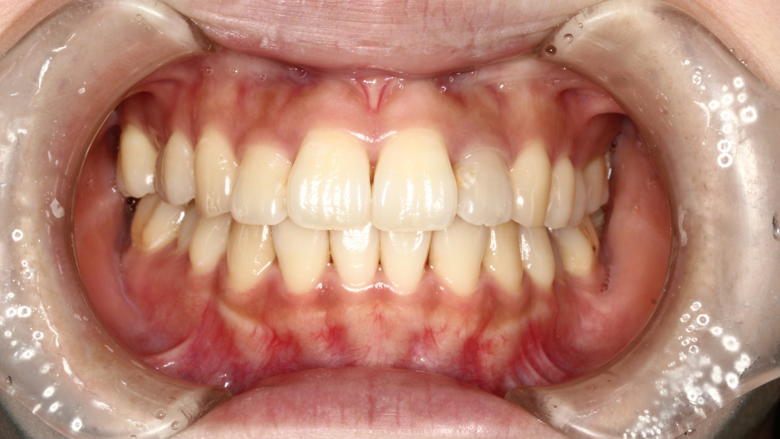
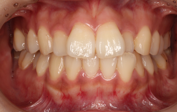
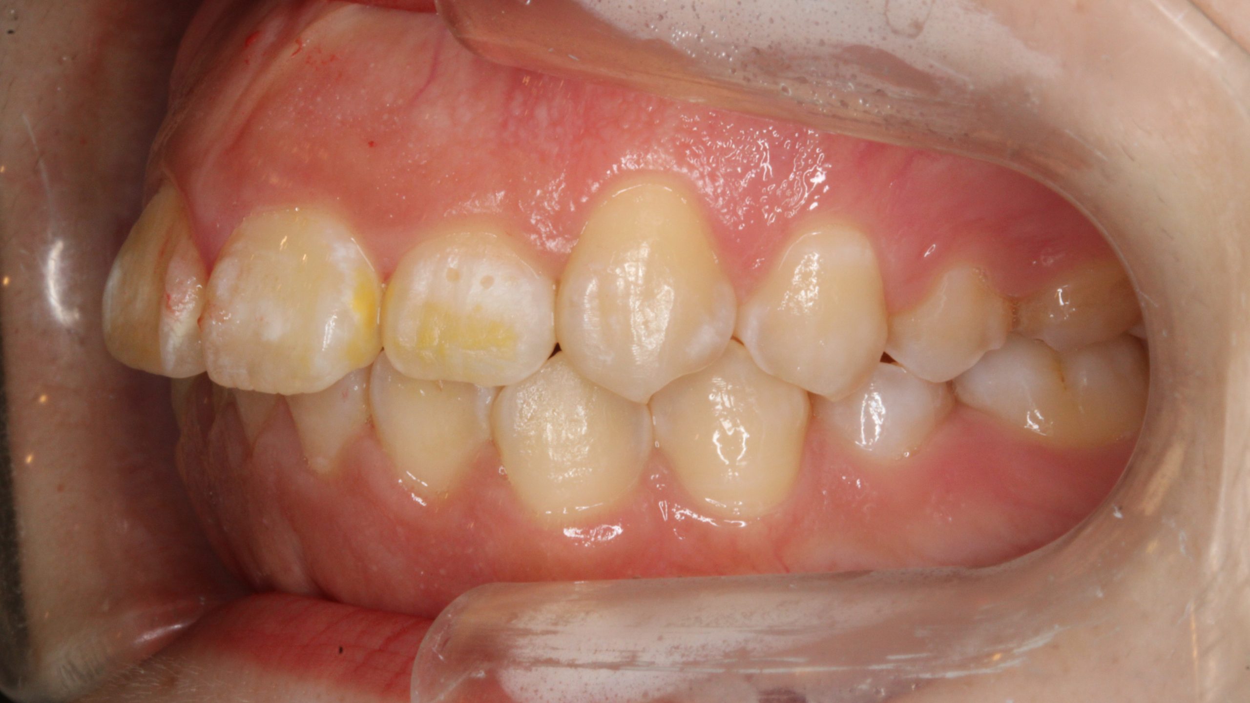
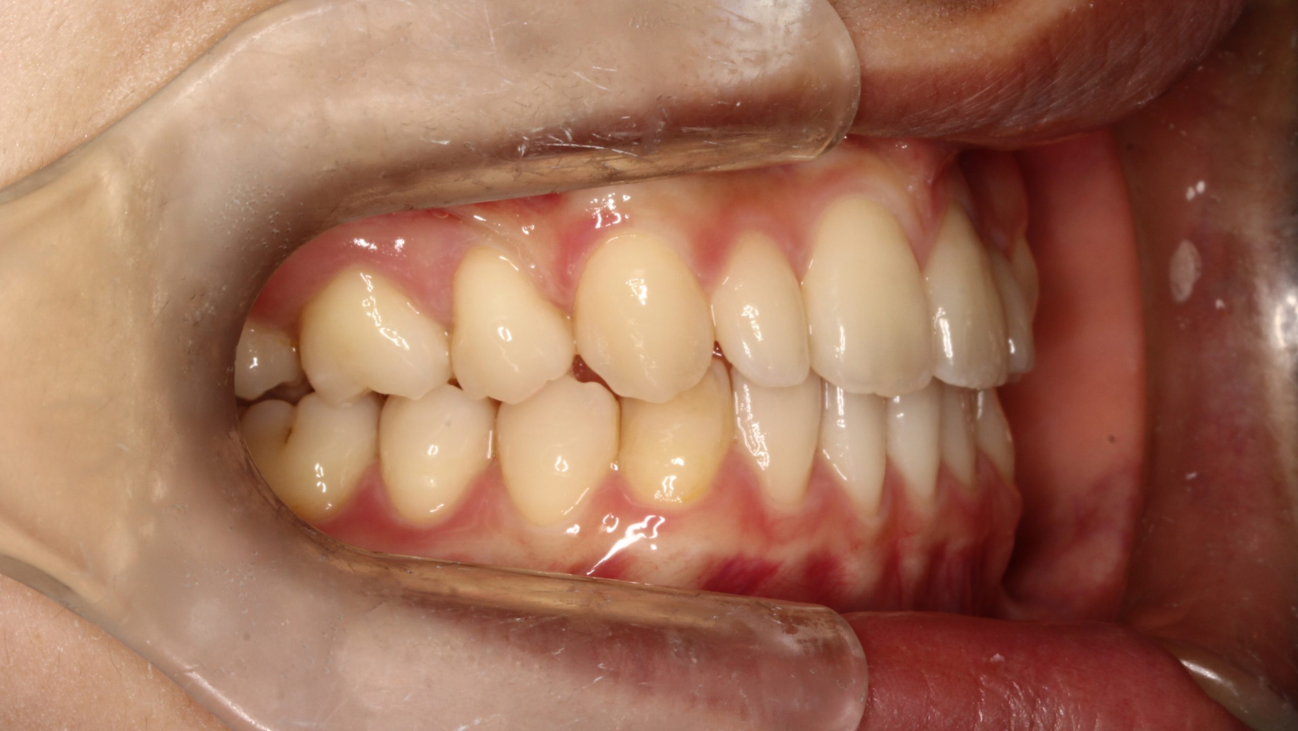
上の歯が出ている、嚙み合わせが悪い(治療期間:2年4か月/通院32回)
| 年齢層 | 20代 |
|---|---|
| 性別 | 女性 |
| 主訴 | 上の歯が出ている、嚙み合わせが悪い |
| 治療費用 | ¥1,265,000 |
| 治療期間 | 2年4ヵ月(32回 ※急患含む) |
| 抜歯 | 上顎左右4 |
| 矯正の装置 | 裏側矯正(舌側矯正) |
| 副作用・リスク | 知覚過敏 ・疼痛 ・咬合痛 ・体質により金属アレルギーの発症 ・歯肉退縮 ・歯根吸収 ・ブラックトライアングル(歯と歯の間の隙間) ・歯磨きがうまく出来ない場合、むし歯や歯肉炎が進行 ・保定が不十分の場合、後戻りの可能性 ・発音への影響 |
Before

