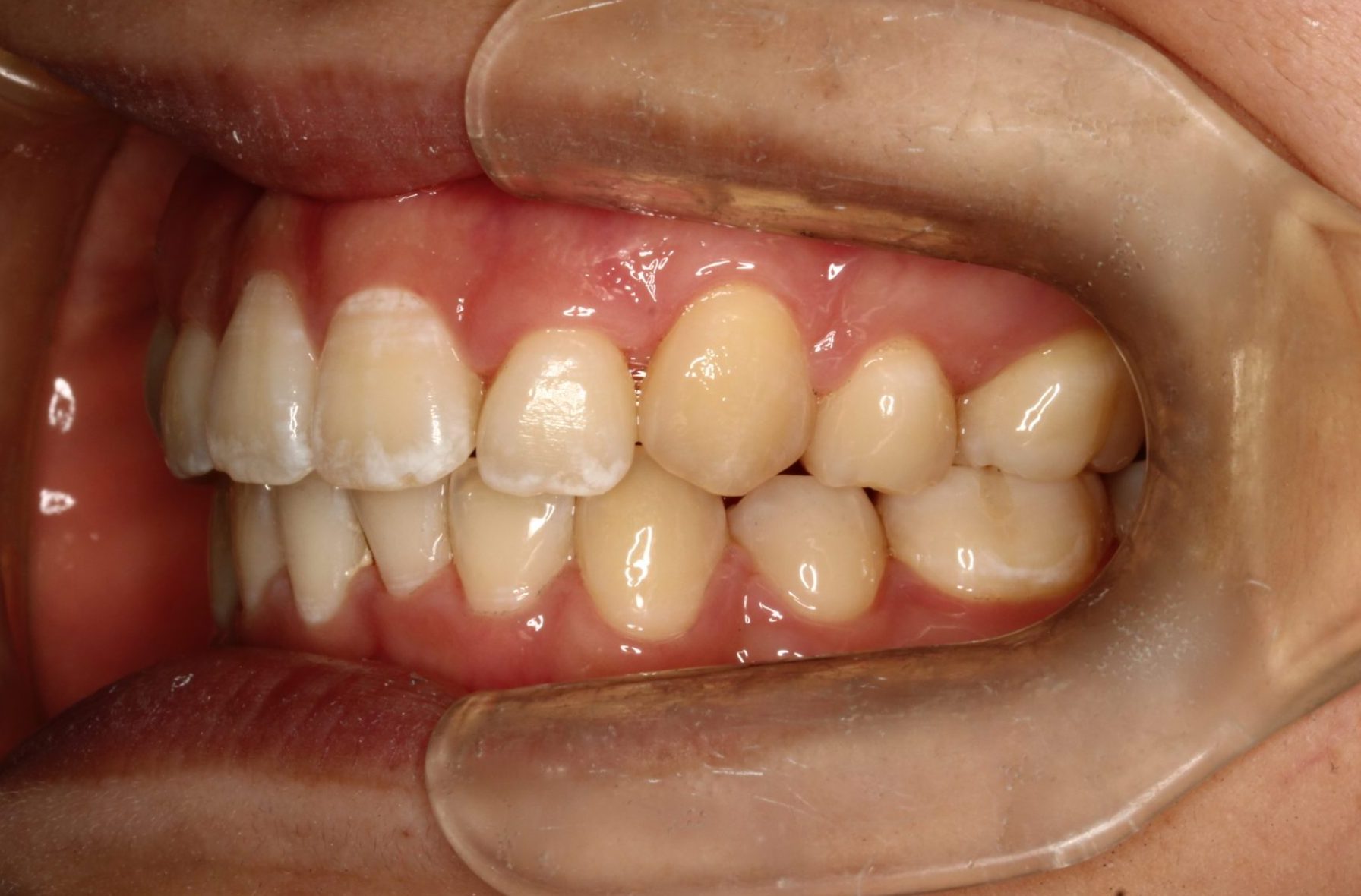
真ん中がずれているのが気になる

下顎前歯のガタツキを整えたい

年齢層 20代
性別 女性
主訴 叢生
治療費用 ¥1,111,000
治療期間 7ヵ月(11回)
抜歯 非抜歯
矯正の装置 表側矯正
副作用・リスク 歯肉退縮,歯根吸収,疼痛,咬合の違和感,装置の違和感,虫歯,歯肉炎
表側矯正 ラビアル 歯列矯正

Before

表側矯正 ラビアル 歯列矯正

After

詳しく見る


正中・歯並び整えたい

年齢層 10代
性別 女性
主訴 叢生
治療費用 ¥935,000
治療期間 2年10ヶ月 (15回 ※急患含む)
抜歯 非抜歯
矯正の装置 インビザライン
副作用・リスク 歯肉退縮,歯根吸収,疼痛,咬合の違和感,装置の違和感,虫歯,歯肉炎

Before

矯正治療 インビザライン マウスピース

After

詳しく見る


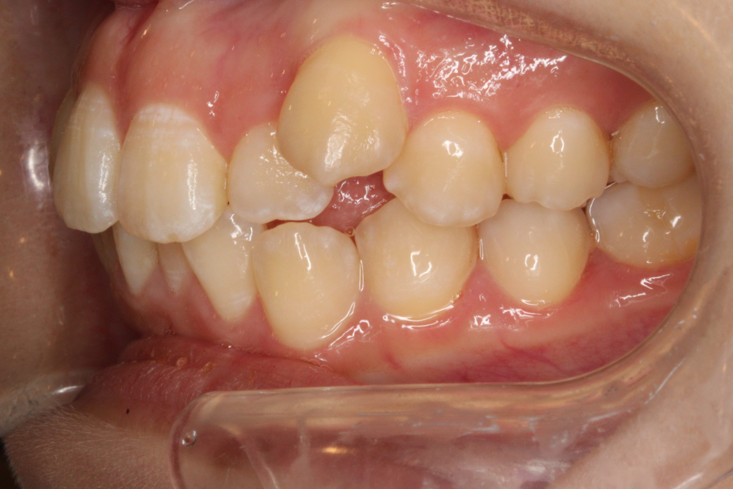
部分矯正で前歯のガタツキを整えたい

年齢層 40代
性別 男性
主訴 前歯のガタツキ
治療費用 ¥772,200
治療期間 9ヵ月 (11回)
抜歯 非抜歯
矯正の装置 裏側矯正(舌側矯正)/部分矯正3┼3
副作用・リスク 知覚過敏 ・疼痛 ・咬合痛 ・体質により金属アレルギーの発症 ・歯肉退縮 ・歯根吸収 ・ブラックトライアングル(歯と歯の間の隙間) ・歯磨きがうまく出来ない場合、むし歯や歯肉炎が進行 ・保定が不十分の場合、後戻りの可能性 ・発音への影響
初診時 歯列矯正 矯正治療

Before

矯正治療 終了 9ヵ月経過

After

詳しく見る


/* 6つの特徴アコーディオン */